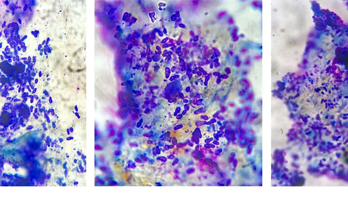
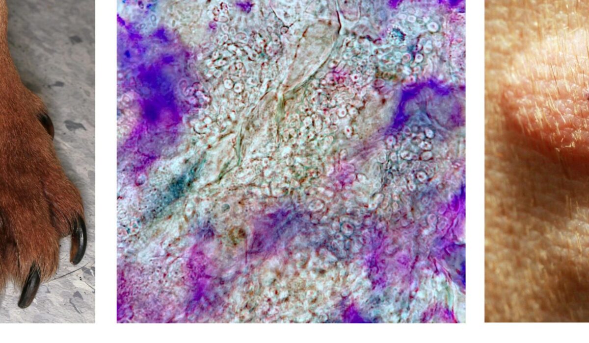
Malassezia dermatitis (and otitis) in dogs and cats has evolved from a disease of obscurity and controversy on its existence, to now being a routine diagnosis in general veterinary practice. Clinical signs are well recognised and diagnostic approaches are well developed. A range of topical and systemic therapies is known to be effective, especially when predisposing factors, especially atopic dermatitis, are identified and corrected.
Evidence-based guidelines have been written by an international group of specialists with the aim to provide veterinarians with current information on the ecology of this genus of lipophilic yeasts, the pathophysiology of Malassezia dysbiosis, infection and hypersensitivity, plus recommendations for the diagnosis and treatment of canine demodicosis.
Biology, diagnosis and treatment of Malassezia dermatitis in dogs and cats Clinical Consensus Guidelines of the World Association for Veterinary Dermatology (Clinical consensus guidelines of the World Association of Veterinary Dermatology). Veterinary Dermatology Volume 31, Issue 1, January 2020, Pages: 27-72, Ross Bond, Daniel O. Morris, Jacques Guillot, Kenneth S. Mason, Rui Kano, Peter B. Hill. Click Here To Access
This short paper presents the main conclusions from each section of the Clinical Consensus Guidelines Click Here To Access








