I am creating the optimum environment for us to work together to review clinical notes, try to establish a diagnosis through thorough examination & immediate in-house screening tests, to plan further investigations & to formulate a long-term treatment & management plan that works for you & your pet. I can see you, your family & pet:
- Alone in a quiet, relaxed & comfortable environment,
- Adopting well-established, fear-free principles,
- Avoiding exposure to other poorly pets in noisy, crowded waiting room & bustling reception areas,
- For a prolonged duration, without disturbances or clock-watching,
- In a modern, purpose-built, consulting suite (Google Maps: TheSkinVet-ThePhotoVet; What three words ///format.hooked.milk),
- Which has been fully-disinfected (often only 1-2 cases/day),
- Complete with 165cm flat-screen monitor, linked by hard-wiring or screen-mirroring to:
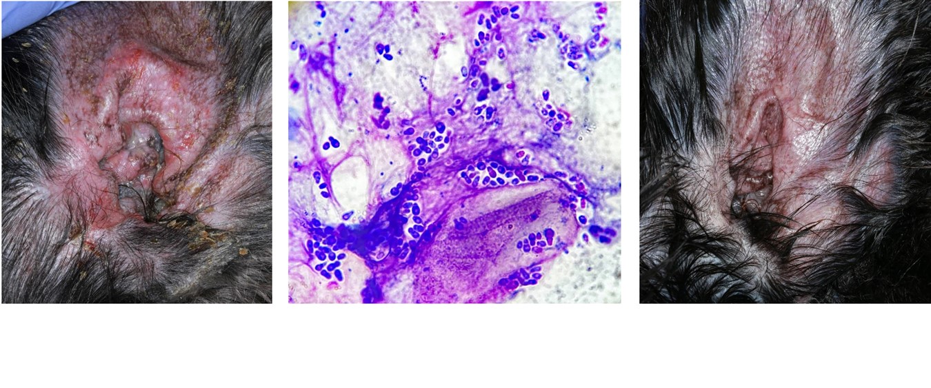
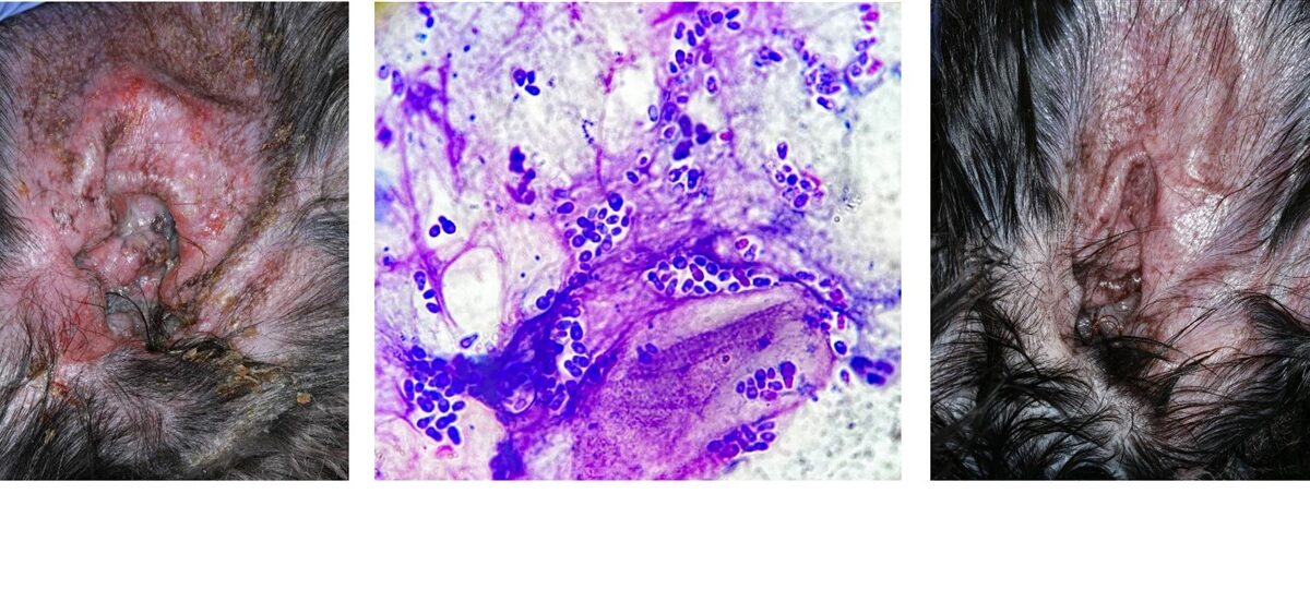
- My Leica Trinocular microscope (sampling, processing & reading whilst we talk),
- My Firefly™ video-otoscope (live viewing of your pet’s ear canals),
- My professional Canon 6D DSLR camera, with 100mm Macro lens & MR14-EX II ring flash
- My PC (reviewing case photos, discussing external laboratory reports etc.)
- Plus free, off-road parking (What three words ///carry.torch.fries) especially important during, regularly enforced, road parking restrictions (09.00-10.00 & 14.00-15.00).
If this sounds ideal, then let me know that this is your preferred choice!







